Moving Teeth with Invisalign

 
Before smile of our Invisalign Patient

How Does Invisalign Work?

We are going to use our patient Dennis to explain the miracle of Invisalign. We describe Invisalign as computer age orthodontics. It utilizes a series of clear aligners that fit over the teeth and apply a light force to the teeth. This force moves the teeth. Traditional braces apply this force with brackets and wires. Invisalign allows more control over these forces.


Where Does Invisalign Start?

It starts with a records appointment. Records taken are photos, impressions, and any necessary x-rays. We send these records to Align Technology, the maker of Invisalign. We also send a prescription from Dr. Rohwer. Our prescription is based on the goals that the patient has for their smile. This is one of the things that makes us different. Our Invisalign cases are NOT one size fits all. Our goal for treatment is your goal. We taylor treatment to achieving your desires.


The Wait for Invisalign is Next.

Once the records are sent to Align Technology, they scan them into computer and make a 3-D model of the teeth. They then move the computer teeth in a series of steps according to our prescription. Invisalign sends a computer check to Dr. Rohwer so he can evaluate the treatment. Once he approves, they the fabricate a clear aligner for each step. Once made, they ship the aligners back to Dr. Rohwer. It takes approximately one month to receive the aligners back after the initial records appointment.


Your Invisalign Aligners are here!

So what’s next? We bring you back to the office to try them in. We go over instructions. We practice taking them in and out. We answer your questions. We give you the first two aligners. Each aligner is worn for 2 weeks, 22 hours per day. You can take them out to eat and to brush your teeth. We see you back in 4 weeks to check your progress. Typically after that, we see you every 6 weeks for a quick appointment to check your progress.


You Have Finished All Your Aligners?

Now we make sure that you are happy. If there are any teeth that still need slight movement, we do a refinement. Refinement is where we order a few more aligners to finish the job. If you are happy and you don’t need anymore aligners, we make retainers.


How Long Do I have to Wear Retainers?

Just like diamonds, retainers are forever. It doesn’t matter whether you have done Invisalign, traditional braces, or no orthodontics, teeth tend to shift throughout our lives. You have to wear retainers more initially after completing treatment, and can wear them less as time passes. We say if your retainer feels tight, you need to wear it more. If it feels loose, you can try to wear it a little less.


Smile before Invisalign
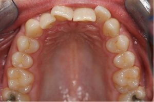
Crooked teeth before Invisalign

This is Dennis before treatment. His primary concern was the crowding of his upper teeth. He wanted to level out his smile. His bite also caused abnormal wear of his enamel.

Computer view of this Invisalign patient

Here is the computer scan of his teeth created by Invisalign. This is before his treatment started. Below is a 7 second video showing the steps that Invisalign used to correct the crowding of his upper teeth and the final alignment of them.

Smile after Invisalign
Full face smile after Invisalign treatment
Computer view of completed Invisalign case

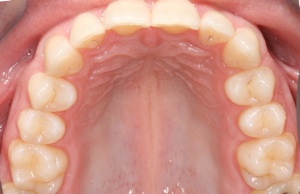
This is Dennis after Invisalign treatment was completed. You can see how great his smile is. To the right, you can see the computer generated final view as well as his actual final result. Invisalign fixed his dental crowding.

Actual view of completed Invisalign case

Are you not sure if Invisalign will work for you? Call for a free consultation, and we will sit down with you and give you a better idea if it will work for you. We won’t pressure you. We will only give you the information you need to make the decision right for you. Call us at 480-899-4402!

Dennis here is an actual patient of Dr. Dean Rohwer, and his case was performed by Dr. Rohwer. We are clarifying this as some websites will deceptively show cases that they had nothing to do with.

Learn more about our dental office in Chandler Arizona at our full website www.MyStunningSmile.com. We provide complete dental care.